病気の予防はお口の健康から

10月 休診日のご案内
平日18時まで受付 丁寧なカウンセリングと安心治療 盛岡駅より車で5分 土曜も17時まで診療
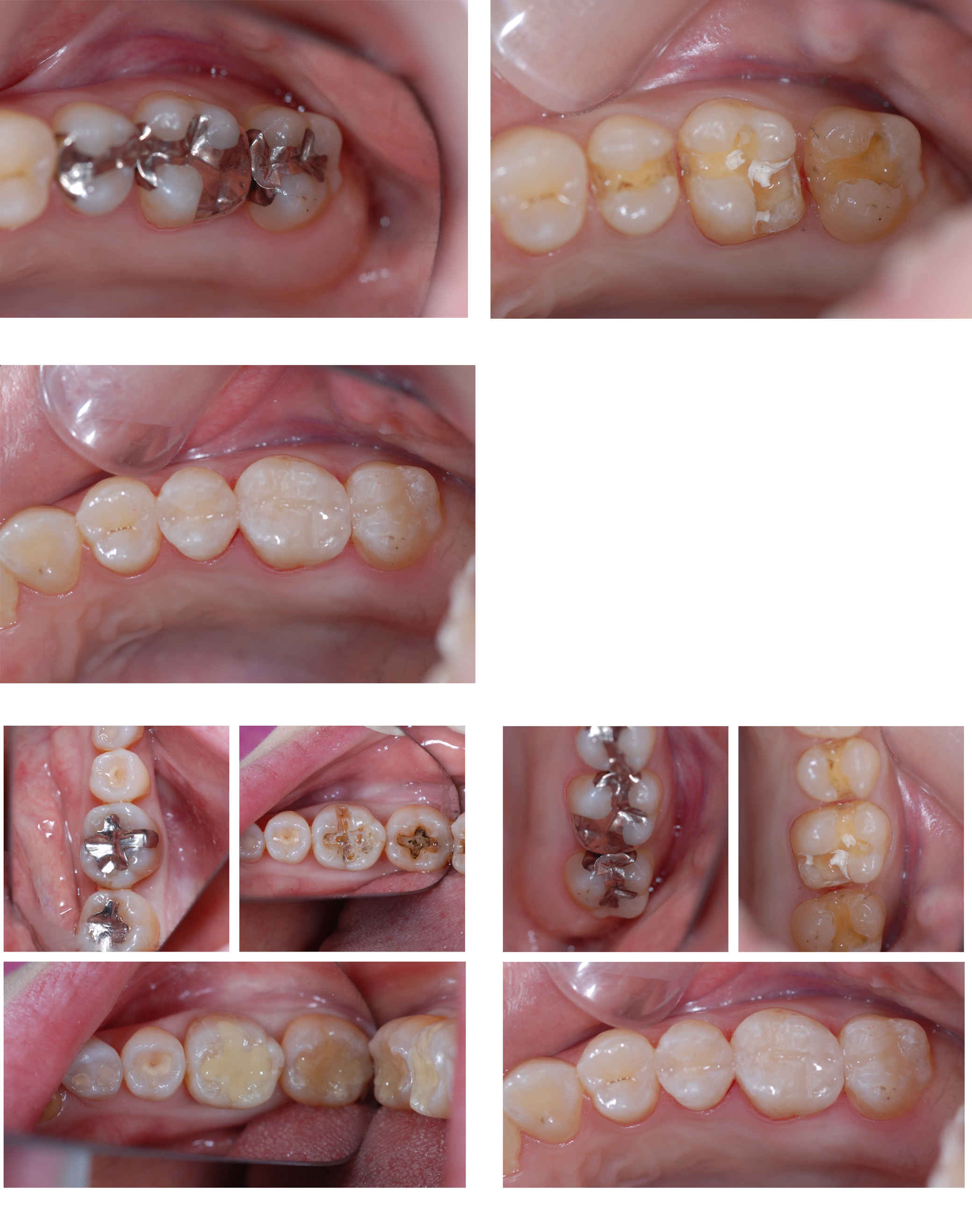
銀歯を詰めるのが嫌だという患者さんへ
保険診療でも白い詰め物や被せ物を選択できる場合があります。 
ご相談ください。

予防と健康に関するお悩みならお任せください。

はじめまして、院長の宮野(みやの)です。
数ある歯科医院の中から、みやのデンタルオフィスのホームページをご覧いただき、ありがとうございます。
歯に関するお悩みを解消したい方は、ご質問・ご相談等どのような内容でも構いませんので、気軽にお問い合わせください。
みやのデンタルオフィス紹介動画
みやのデンタルオフィスが選ばれる理由
理由1.治療は最小限に、予防とメインテナンスを中心とした医療だから

できれば行きたくない。
痛くなっても我慢していれば治るかもしれない…
そんなことをしているうちにどんどん悪くなって、とうとう我慢できなくなり、仕方なく歯科に行く。
いまでもそんな方多いんじゃないですか?
でもそれは違います。
むし歯も歯周病も気づかぬうちに悪くなっていきます。
痛い、高い、時間がかかると悪いイメージばかりの歯科医療。
削って詰めるだけの治療は、お客さんにとっても歯科医師にとってもつらいだけ。
健康維持のため、予防のための歯科医院です。
細菌検査でリスクの判定をしてお客さん個々に合った予防を行って行きます。
理由2.みえない矯正インビザラインが好評だから

歯並びが気になるけど装置が目立つのがいやだ。
他人に矯正治療を行っていることを知られたくない…
そんなあなたに新しい矯正装置を使用した治療はいかがでしょうか?
透明なアライナーという矯正装置を2週間毎に取り替えていくだけで歯並びがきれいになっていきます。
みやのデンタルオフィスからのメッセージ
院長:宮野 敦志(みやの あつし)

当院のホームページをご覧いただき、ありがとうございます。
院長の宮野です。
私はいつもお客さんに、治療の主役はお客さんご本人であると申し上げています。
それはお客さんご自身に「良くなろう」「きれいになろう」という気持ちが無いと、私たちがいくら頑張っても良い結果は生まれないからです。
少しでも不安なことがあれがいつでもご連絡ください。
丁寧にきちんと対応させて頂きます。
経歴
・1957年 北上済生会病院にて出生。幼少時を盛岡で過ごす
・1964年 岩手大学教育学部付属小学校入学
・1970年 岩手大学教育学部付属中学校入学
・1973年 岩手県立盛岡第一高等学校入学
・1976年 同卒業
人生修行の旅に出る(大学浪人とも言う)
・1979年 岩手医科大学歯学部入学
・1985年 同卒業 歯学部大学院歯学研究科入学
・1985年 同口腔外科学第二講座入局
・1989年 同修了 歯学博士号授与。第二口腔外科副手
・1990年 盛岡市中屋敷町に宮野歯科医院開業
・1995年~ JIADS研修生・JIADS会員
・2000年~ 岩手医科大学歯学部歯科麻酔学講座研修医
・2003年 みやの歯科医院・Femminile・移転開業
・2005年~ SJCDマスターコース研修生・東北SJCD会員
・2007年 インビザライン認定歯科医師
保有資格
・歯学博士号
・インビザライン認定歯科医師
保有資格
 歯科医師免許証
歯科医師免許証
 インビザライン研修修了証 治療許可証
インビザライン研修修了証 治療許可証
 ノーベルバイオケアインプラント研修修了証 治療許可証
ノーベルバイオケアインプラント研修修了証 治療許可証
 デンタルドラッグデリバリーシステムによる除菌療法(予防歯科)研修修了証
デンタルドラッグデリバリーシステムによる除菌療法(予防歯科)研修修了証
メディカルトリートメントモデル(MTM)のご紹介
具体的には?
初診時
①問診時、医療面談を行って患者様の訴えを把握します。
②検査:唾液検査やリオグラムでムシ歯のリスク評価、歯周組織検査とOHISで歯周病のリスク判定、レントゲン写真撮影、口腔内写真撮影を行って患者様の状態を記録します。 ③急性症状(痛み、炎症など)に対する治療を行います。
④病態の安定化治療:口腔衛生指導、歯周治療、ムシ歯の治療を行って症状を軽減させる治療を行います。
⑤確定的な治療:歯内療法、口腔外科治療、歯周外科治療、最終補綴治療を行います。
⑥治療の再評価を行います。
⑦術後管理:メンテナンスを行い再発予防に必要な処置を行います。
実際の患者様のレポートは下記をご覧ください
みやのデンタルオフィスの人気のおすすめ施術
LINE公式アカウントの友だち募集中です!
みやのデンタルオフィスのおすすめポイント
- 口腔の健康の維持を推奨
- 丁寧でわかりやすい説明、徹底した衛生管理
- 確かな技術と豊富な治療経験、症例実績多数
- 治療は最小限に、予防とメインテナンスを中心とした医療!
みやのデンタルオフィスについて




予防と健康に関するお悩みを解消なら盛岡市中屋敷町にあるみやのデンタルオフィス。JR盛岡駅より車で約5分、徒歩20分の審美治療 ホワイトニング 歯医者。当院は丁寧な説明と安心治療にこだわります。駐車場あり。
基本情報
| 電話番号 | 019-643-5773 | 
|---|---|
| 住所 | 岩手県盛岡市中屋敷町7-17 | 
| アクセス | JR盛岡駅より車で約5分 JR盛岡駅より徒歩20分 現在地からのルート案内を見る | 
| 道順案内 | 
 | 
| 診療時間 | 平日 9:00~12:00 / 14:00~18:30(最終受付18:00) ※土曜 9:00~12:00 / 14:00~17:00(最終受付16:30) ※火曜日11時〜16時は訪問診療のため予約をお取りできません。 ※訪問診療の内容によっては16時以降の予約ができない 場合もあります。予約可能かどうかはお問い合わせください。 | 
| 定休日 | 木曜,日曜,祝日 | 
| 特長 | 平日18時まで受付 丁寧なカウンセリングと安心治療 盛岡駅より車で5分 土曜も17時まで診療 | 










